●矯正治療が必要な歯ならびとは
6.空隙歯列
歯ならび全体や隣との間に隙間がある。
=すきっ歯(空隙咬合)
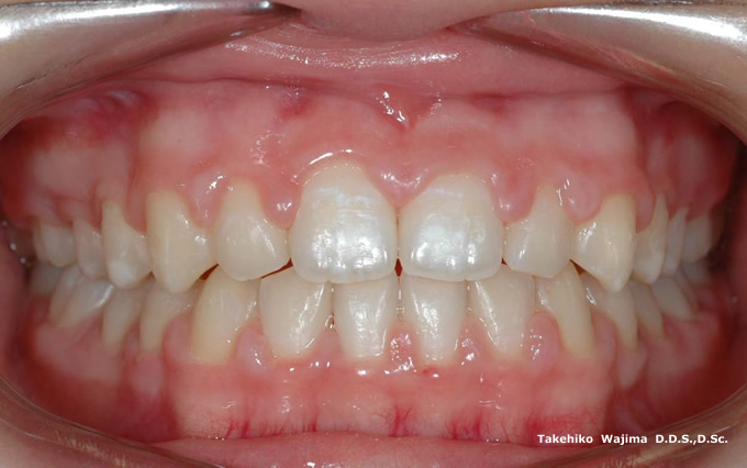
| 主訴 | 前歯の歯ならび、見た目、将来、口元の外観 | 診断名 | 上顎唇側傾斜を伴うアングルⅠ級空隙歯列症例 |
|---|---|---|---|
| 初診時年齢 | 14歳6ヶ月 | 動的治療期間 | 11ヶ月 |
| 抜歯部位 | 非抜歯 | ||
| 使用装置 | 0.018"×0.025" standard edgewise | ||
| その他の装置 | - | ||
| 保定装置 | 上顎 Begg Type Retainer、下顎 Hawley Type Retainer | ||
| 治療期間 | 35ヶ月 | 通院回数 | 15回 |
| 治療費用(税別) | |||
|---|---|---|---|
| 装置料 | プラスチック(50万円) | 処置料 | 1万円×11回 |
| 保定装置料 | 6万円 | 経過観察 | 3千円×4回 |
| 診断時の特記事項 | |
|---|---|
| 顔貌所見 | 正貌はほぼ左右対称であるが、口唇閉鎖時には口腔周囲筋の緊張による不調和が認められた。 |
| 口腔内所見 | 大臼歯関係はアングルT級であった。上顎前歯が唇速傾斜し、上顎前歯部と下顎第一大臼歯より前方に空隙が認められた。 |
| X-ray所見 | |
|---|---|
| セファロ所見 | 骨格的な問題は認められないが、上顎前歯の唇側傾斜が認められた。 |
| パノラマ所見 | 上下左右側に第三大臼歯の歯胚が認められた。 |
| 批評・予後・リスク | |
|---|---|
| 批評・予後 | 下顎の第一大臼歯より前方に空隙閉鎖により下顎前歯が舌側傾斜し、それにキャッチアップする形で上顎前歯の後退により、緊密な咬合が得られた。またバランスのとれた口元に改善された。 |
| リスク | 今後上下顎第三大臼歯萌出による咬合への影響が懸念される。 |

























