●矯正治療が必要な歯ならびとは
1.叢生
1.歯が出たり入ったり、でこぼこ並んでいる。
=八重歯、でこぼこ、らんぐい歯
| 主訴 | 見た目、歯磨きがしにくい | 診断名 | 著しい叢生を伴ったアングルⅡ級Ⅰ類上顎前突症例 |
|---|---|---|---|
| 初診時年齢 | 15歳5ヶ月 | 動的治療期間 | 20ヶ月 |
| 抜歯部位 | ![]() |
||
| 使用装置 | 0.018"×0.025" standard edgewise | ||
| その他の装置 | Palatal Arch | ||
| 保定装置 | 上顎 Begg Type Retainer、下顎 Begg Type Retainer | ||
| 治療期間 | 48ヶ月 | 通院回数 | 27回 |
| 治療費用(税別) | |||
|---|---|---|---|
| 装置料 | プラスチック(50万円) | 処置料 | 1万円×18回 |
| 保定装置料 | 6万円 | 経過観察 | 3千円×9回 |
| 診断時の特記事項 | |
|---|---|
| 顔貌所見 | Dolico facial pattern傾向を呈し、口唇閉鎖時には口腔周囲筋の緊張による不調和が認められた。 |
| 口腔内所見 | 犬歯、大臼歯関係はアングルU級で、上下顎とも著しい叢生が認められた。 |
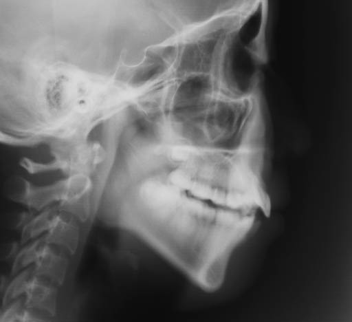
| X-ray所見 | |
|---|---|
| セファロ所見 | 骨格的にはANB5.1°と前後的な不調和が認められ、 FMAが37.5°とハイアングルを呈していた。U1 to A-Pogが13.3mm、L1 to A-Pogが17.1mmと突出していた。 |
| パノラマ所見 | 上下左右側に第三大臼歯の歯胚が認められた。 |
| 批評・予後・リスク | |
|---|---|
| 批評・予後 | 上顎第一小臼歯抜歯により上顎は叢生の改善、下顎第二小臼歯抜歯により下顎大臼歯部の近心移動によりアングルT級の緊密な咬合が獲得され、バランスのとれた口元に改善された。 |
| リスク | 矮小歯ではあるが、今後上顎左側第三大臼歯萌出による咬合への影響が懸念される。 |




















