●矯正治療が必要な歯ならびとは
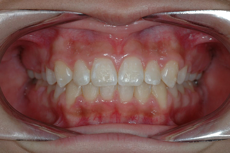
5.過蓋咬合
下の前歯が見えない程、歯が深く咬み込みすぎている。
| 主訴 | 歯ならび | 診断名 | 小臼歯鋏状咬合を伴ったアングルⅡ級2類過蓋咬合症例 |
|---|---|---|---|
| 初診時年齢 | 9歳1ヶ月 | 動的治療期間 | 19ヶ月 |
| 抜歯部位 | 非抜歯 | ||
| 使用装置 | 0.018"×0.025" standard edgewise | ||
| その他の装置 | - | ||
| 保定装置 | 上顎 Begg Type Retainer、下顎 Spring Type Retainer | ||
| 治療期間 | 43ヶ月 | 通院回数 | 27回 |
| 治療費用(税別) | |||
|---|---|---|---|
| 装置料 | プラスチック(50万円) | 処置料 | 1万円×19回 |
| 保定装置料 | 6万円 | 経過観察 | 3千円×8回 |
| 診断時の特記事項 | |
|---|---|
| 顔貌所見 | 正貌は若干下顎が左側に偏位しているが、口腔周囲筋の緊張などの乱れはない。 |
| 口腔内所見 | 大臼歯関係はアングルⅡ級で、両側第一小臼歯に鋏状咬合が認められ、上顎左側側切歯は矮小歯の傾向が認められた。 |
| X-ray所見 | |
|---|---|
| セファロ所見 | 骨格的にはGonial angleが小さい顕著なローアングルを呈し、上顎前歯の舌側傾斜が著しく、インターインサイザルアングルが極めて大きい値を示した。 |
| パノラマ所見 | 上下左右側に第三大臼歯の歯胚が認められた。 |
| 批評・予後・リスク | |
|---|---|
| 批評・予後 | 上顎前歯の唇側傾斜にキャッチアップする形で下顎骨の成長により前後的な不調和が改善され緊密な咬合が獲得された。 |
| リスク | 今後上顎第三大臼歯萌出による咬合への影響が懸念される。 |























