●矯正治療が必要な歯ならびとは
2.上顎前突
2.上の前歯が口元からとび出していて口が閉じにくい。
=出っ歯
※上下両方の歯やあごが口元からとび出ている。
=上下顎前突
| 主訴 | 歯ならび、顎の痛み | 診断名 | 上顎前歯唇側傾斜, 下顎前歯舌側傾斜, 左下中切歯および両側下顎第二小臼歯先天欠如を伴う skeletal ClassU- Tendency to Dolico, denture ClassTの上顎前突症例 |
|---|---|---|---|
| 初診時年齢 | 14歳11ヶ月 | 動的治療期間 | 35ヶ月 |
| 抜歯部位 | ![]() |
||
| 使用装置 | 0.018"×0.025" standard edgewise | ||
| その他の装置 | Palatal Arch、Implant anchor | ||
| 保定装置 | 上顎 QCM Begg Type Retainer、下顎 Begg Type Retainer | ||
| 治療期間 | 59ヶ月 | 通院回数 | 45回 |
| 治療費用(税別) | |||
|---|---|---|---|
| 装置料 | プラスチック(50万円) | 処置料 | 1万円×35回 |
| 保定装置料 | 6万円 | 経過観察 | 3千円×10回 |
| 診断時の特記事項 | |
|---|---|
| 顔貌所見 | 正貌はほぼ左右対称であるが、口唇閉鎖時には著しい口腔周囲筋の不調和が認められた。 |
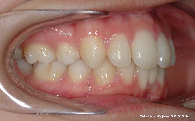
| 口腔内所見 | オーバージェット 16.0mm、over bite 9.0mm、臼歯関係Ⅰ級、下顎前歯部に先天欠如歯が認められ、下顎正中は左側へ3.0mm偏位していた。 |
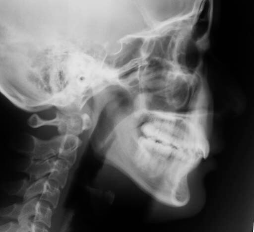
| X-ray所見 | |
|---|---|
| セファロ所見 | 側方セファロ分析から、FH-U1 125°、L1-APOディスタンス -2.5mm、L1-APO アングル 15°と上顎前歯唇側傾斜、下顎前歯舌側傾斜が認めらた。 |
| パノラマ所見 | 左下中切歯および下顎両側第二小臼歯の先天欠如が認められた。 |
| 批評・予後・リスク | |
|---|---|
| 批評・予後 | 治療計画として、A点はホールド、若干の大臼歯部の前方へのロスはやむを得ないもののチンコントロールの為に、垂直的ロス(挺出)を可及的に防止する。 また、上顎前歯部は上顎両側第一小臼歯抜歯スペースを最大限に利用し後退させ、下顎前歯部はスピー弯曲の除去と唇側傾斜によりオーバージェットの改善を行意顔貌、咬合の改善を行う。ほぼ満足のいく結果が得られた。 |
| リスク | 先天欠如部分の骨増生および歯頸部歯肉のレベリングなどの審美回復については患者が希望されなかった。今後下顎前歯部歯頚部歯肉について, 後方への下唇下部筋肉の圧迫が強いこと, 唇側傾斜移動量が多かったこと, 下顎結合部の骨が薄いことなどから十分なメンテナンスが必要だと思われる。 |




















